PEDİATRİK BEYİN ULTRASONU
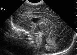
Transfontanel ultrason yeni doğan bebeklerde sıklıkla kullanılmakla birlikte bebeklerin kafa kemikleri kapanana kadar (yaklaşık 6-9 ay) yapılabilir.
Bu inceleme ile kafa kemiklerinin henüz kapanmayan alanları pencere olarak kullanılarak beyin yapıları, damarlar, beyin omurilik sıvısı ve beyin zarları değerlendirilir. Yeni doğan bebeklerde özellikle prematürite olması durumunda beyin gelişiminin normal olup olmadığı değerlendirilir. Prematür bebeklerde beyin içi kanama olasılığı daha yüksektir. Bu durumda da ultrason inceleme olası kanamanı yeri, büyüklüğü, çevre dokulara basısı gibi konularda fikir verir. Yine beyin omurilik sıvısının (BOS) artış gösterdiği durumlarda bu artışın derecelendirilmesi ve tedavinin planlanması için en uygun görüntüleme yöntemidir. Beyin içerisinden doğumsal olarak gelişen kitleleri değerlendirmek için de öncelikle ultrason inceleme kullanılır.
