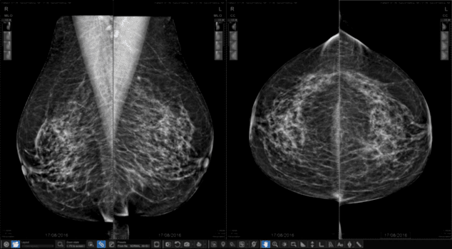
MAMOGRAFİ
Mamografi cihazları X ışını kullanan ve bu nedenle iyonizan radyasyon oluşturan cihazlardır. Bu nedenle 40 yaş üstündeki kadınlarda 1 yıl aralıklarla tarama amacıyla ya da 40 yaş altında ciddi gereklilik olması durumunda yapılır. 1 yıldan daha kısa sürelerde mamografi incelemesinin yapılması uygun değildir.
Daha erken sıklıkla yapılan mamografi incelemesinin meme kanseri riskini artırdığını ve bu sürelere uymak gerektiğini unutmamak gerekir. Mamografi incelemesinde her iki memeden de ikişer adet çekim yapılır. Bir çekim süresi birkaç dakikayı geçmez. İnceleme için meme iki plaka arasında sıkıştırıldığı için hasta bir miktar ağrı hissedebilir. İnceleme tercihen adet bitiminden 2-3 gün sonrasında yapılır. Bu dönemde meme daha az ödemli olup hem daha az ağrıya yol açacaktır hem de tanısal değeri adet öncesi döneme oranla bir miktar daha iyi olacaktır.
Büyük kistleri olduğu bilinen ya da meme protezi olan hastalarda mamografi yapılmaz. Bu durumda mamografi yapılır ise meme kistlerinde patlama ya da meme protezinde hasar oluşabilir. Bu hastalarda meme ultrasonu dışında bir görüntüleme ihtiyacı olursa mamografi yerine meme MR tercih edilmelidir. Erken dönem meme kanserlerinde görülen mikrokalsfikasyonlar (milimetrik kireçlenmeler) en güzel bu inceleme ile saptanır. Bu nedenle mamografi ve meme ultrasonu birbirinin yerine yapılabilecek tetkikler değildir. Her ikisinin de avantajlı ve dezavantajlı özellikleri vardır. O nedenle taramalarda mamografi ve meme ultrasonunun birlikte yapılması uygun olacaktır.



