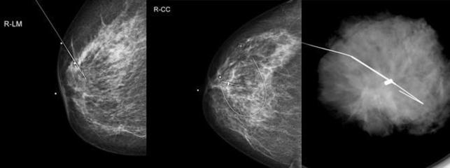
ULTRASON VEYA MAMOGRAFİ İLE MEME İŞARETLEME
Meme ultrasonu veya mamografi ile saptanan derin yerleşimli ya da küçük boyutlu kanser açısından şüpheli özellikte olan kitlelerin cerrahi olarak çıkarılmasına yardımcı olmak için bu işlem yapılır. Ayrıca mamografide sadece patolojik (yani kanser açısından riskli olan mikrokalsifikasyon) kireçlenmeler görülen ancak henüz bir kitle oluşumuna yol açmayan çok çok erken dönemde kanser açısından şüpheli meme alanlarının çıkarılmasına da yardımcı olmak için de yapılır. Bu işlemde özel işaretleme telleri ya da coiller kullanılır. Görüntüleme eşliğinde bu teller olası kitlelerin hemen yanına konulur. Bu teller ucundaki çengel sayesinde dokuda sabit kalırlar ve yer değiştirmezler. Tel ile işaretlemeden sonra hasta operasyona gönderilir.


