BİLGİSAYARLI TOMOGRAFİ
Bilgisayarlı Tomografi (BT) X ışını kullanan ve bu nedenle iyonizan radyasyon oluşumuna yol açan kesitsel görüntüleme yapabilen bir cihazdır. Günümüzde BT teknolojisindeki büyük yeniliklerle bu inceleme rutinde birçok hastalığın tanısında kullanılır hale gelmiştir. Çok kesitli (Multislice) BT teknolojisi ile bu incelemelerin görüntü kaliteleri artmış olup işlem süresi çok ciddi derecede kısalmıştır.
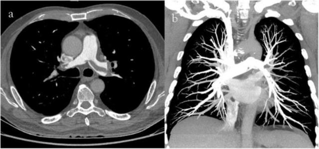
Eski cihazlarda kesit kalınlıkları 1cm civarında iken yeni nesil cihazlar ile 1 mm’nin altına inmiştir. Bu nedenle milimetrik boyuta bile ulaşmayan kitlelerin tanısı mümkün hale gelmiştir. Ayrıca bu cihazların hem görüntü kalitelerinin artmış hem de çekim sürelerinin azalmış olması nedeniyle damar yapılarının incelenmesine olanak sağlar hale gelmiştir. Günümüzde kalp, beyin, boyun, göğüs, karın ve bacakların damarları BT Anjiografi ile rahatlıkla değerlendirilebilmektedir. Konvansiyonel katater Anjiografi yerine daha az yan etkisi olan ve hasta için daha konforlu olan BT Anjiografi işlemleri sıklıkla tercih edilmektedir.
Yeni nesil BT cihazları tek düzlemde değil 3 düzlemde görüntüleme yapabilmekte ve bu sayede 3 boyutlu görüntüler oluşturabilmektedir. Özellikle nakil hastalarında ve akciğer cerrahisi geçirecek hastalarda organ volumlerini hesaplamak için kullanılabilir. Dinamik incelemeler yeni teknolojileri ile daha kolay yapılabilir hale gelmiştir. Bu incelemelerle örneğin karaciğer kitlesi olan bir hastada dinamik görüntüler elde edilerek var olan kitlenin ayırıcı tanısı yapılmaya çalışılır. Travma hastalarında rutin incelemelerden biri haline gelen BT kemik kırıklarını ve kanmaları göstermekte oldukça başarılıdır. BT incelemeleri iyonizan radyasyona yol açtığı için tercih edilirken dikkat edilmeli ve doz hesabı yapılmalıdır.


