PENİL RENKLİ DOPPLER US
Erkeklerde ereksiyon (sertleşme) problemleri azımsanamayacak oranda görülen bir sağlık sorunudur. İleri yaşlarda daha sıklıkla karşılan bu durumda ereksiyon (sertleşme) ya hiç oluşmaz ya da istenilen kalitede değildir.

Penis birbirine paralel üç ayrı tüp şeklindeki yapıdan oluşmaktadır. Bu yapılardan altta olanı içerisinden idrar kanalı, damar ve sinir yapıları geçmektedir. Üstte olan iki tüp yapısı içerisinde ise etrafında kas tabakaları olan ufak havuzcuklar bulunmaktadır. Bu kas tabakaları normalde kasılmış bir durumda olurlar. Ereksiyon oluşumunu asıl sağlayan bu yapılara kavernöz cisim adını vermekteyiz.
Ereksiyon mekanizması bazı kronolojik aşamalardan oluşur. Öncelikle görsel, işitsel ya da dokunsal bir sinirsel uyaran olmalıdır. Bu uyarıdan sonra peniste kavernöz cisim yapılarının içindeki kasılmış halde bulunan kas tabakalarının gevşemesi ve var olan ufak havuzcukların genişlemesi gerekmektedir.
Daha sonra penise kan taşıyan atardamar hızlarında ve debilerinde artış oluşması ve tarif ettiğimiz bu havuzcukların kan ile dolmaya başlaması gerekir. Son olarak ta kanla dolan ve ereksiyonu oluşturan bu havuzcuklardan toplardamarlar ile kanın kalbe doğru hareketin durması gerekmektedir. Bu sıraladığımız aşamalardan herhangi birinde olacak aksamalar yada engeller sertleşme sorunlarına yol açacaktır. Ayrıca bu fiziksel nedenler dışında büyük bir hasta grubunda psikolojik nedenlerden de sertleşme problemlerinin oluşabileceği unutulmamalıdır.
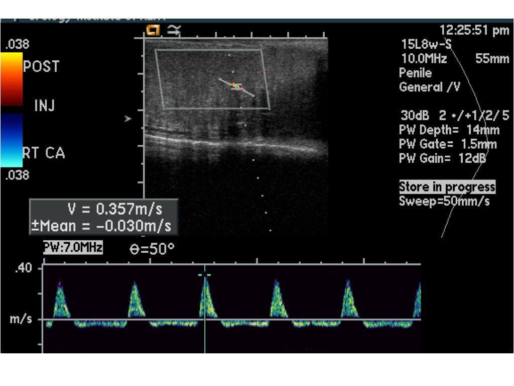
Ereksiyon sebeplerinden en sık görülenleri az önce bahsettiğimiz damarsal yapılardaki problemlerdir. Penise kan taşıyan ataradamar hızlarında ve debilerinde azalma (kalp ve damar hastalıkları, hipertansiyon, diabet vb.) atardamar yetmezliğine yol açar. Atardamar hızları ve debisi normal olduğu halde topladamarların normalden fazla kanı kalbe doğru götürmesi toplardamar yetmezliğne (venöz kaçak) yol açacaktır. Penil doppler ultrason incelemesi ile atardamar ve toplardamarlardaki olası problemler saptanır ve elde edilen bu sonuca uygun tedavi alternatifleri uygulanır. Dolayısıyla sertleşme sorunlarının tedavisi öncesinde deneyimli ellerde ve uygun koşullarda penil doppler ultrason incelemesinin yapılması ve tedavinin buna göre şekillendirilmesi doğru yaklaşımdır.
Penil doppler ultrason incelemsei yaklaşık 30 dk süren bir testtir. Öncelikle ultrason ile penis yapıları ve damarlar değerlendirilir. Daha sonra ereksiyon sağlayıcı ilaçların olduğu bir enjeksiyon yapılır. Bu enjeksiyon ağrılı bir işlem değildir. Daha sonra bir süre beklendikten sonra 5’er dakika aralıklarla atardamar ve toplardamar hızları ve debileri ölçülür. 20.dakika ölçümüde yapıldıktan sonra işlem sonlandırılır. Bütün işlem parametrelerinin olduğu ayrıntılı bir rapor yazılır ve üroloji uzmanının doğru tedavi yöntemini tercih etmesini yolu sağlanır. Bu testte önemli olan hastanın sakin, kalabalık olmayan, gürültünün olmadığı bir ortamda bu işlemi yapmak ve bu test için yeterli zamanı ayırmaktır. Hastane ortamlarındaki kalabalık ve gürültülü alanlarda bu testi yapmak doğru sonuçların alınmamasına yol açacaktır.

