OBSTETRİK (GEBELİK) RENKLİ DOPPLER ULTRASON
Obstetrik renkli doppler ultrason gebelikte 27 hafta sonrasında rutin kontrol amacıyla yapılabileceği gibi, anne karnındaki bebek gelişimi ile ilgili problem olması durumunda, plasental (bebeğin eşi) problemlerde, bebeğin etrafındaki amnion sıvısının artması ya da azalması durumlarında ya da bebekegelişimsel ya da yapısal anormallikler olması durumunda yapılması gerekebilir.
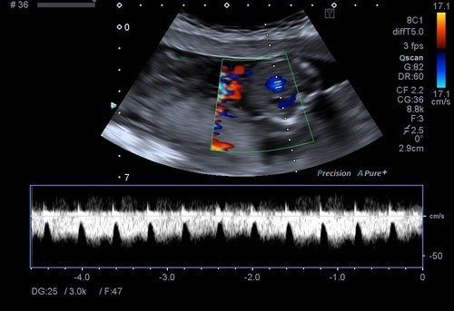
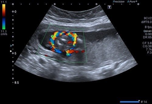
Obstetrik renkli doppler ultrason incelemesinde rahmi besleyen ana damarlar, plasentadan bebeğe doğru giden kordon damarları, bebeğin beyin ve karın bölgesindeki damarlar incelenir.


Bu inceleme sonucunda problem olmaması durumunda bebeğin normal gelişimine devam ettiği düşünülebilir. Ancak bu incelemeler soncunda ortaya çıkabilecek anormallikler olması durumunda, saptanan sonucun ciddiyetine göre değişmekle birlikte kısa aralıklarla takipten acil sezeryan operasyonuna kadar uzanan bir takip-tedavi süreci planlanır. Yine bu iceleme ile fetal anemi (kansızlık) tanısı konulabilir.
