EKSTREMİTE VENÖZ DOPPLER ULTRASON

Kol ve bacak toplardamarlarını incelemek için omuz ve kalça düzeyinden başlayarak el ve ayak bileğine kadar olan alan taranır.
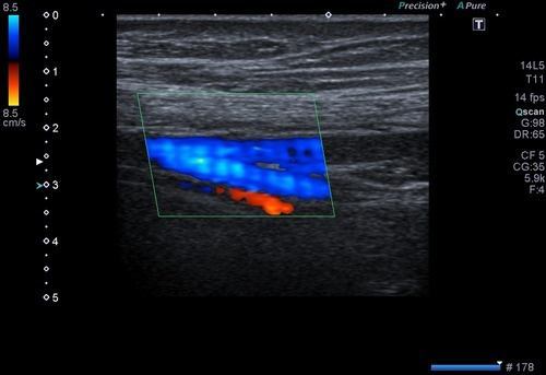
Bu alanlarda toplardamarların genişlikleri ölçülür. Bu inceleme ile toplardamarlardaki darlıklar, tıkanıklıklar, pıhtı oluşumu, yetmezlikler değerlendirilir.
Bu tetkik en çok varis hastalarına yapılır. Varis hastalarında detaylı bir renkli doppler ultrason yapmak gerekir.
Öncelikle damar anatomisini anlamak açısından tetkik yatarak başlayabilir.
Ancak toplardamar yetmezliği açısından hastanın mutlaka ayakta değerlendirilmesi gerekmektedir. Ayakta yapılmayan yetmezlik değerlendirmeleri doğru sonuç vermeyecek ve yanlış tedavilere yol açacaktır.
Renkli doppler incelemede gözle görülen yüzeysel yerleşimli varisler dışında kas tabakaları arasındaki derin damarlar da incelenir. Derin damarlarda problem olmaması durumunda yüzeysel yerleşimli varisler direk tedavi edilebilir.
Ancak derin damarlarda problem olması durumunda bu durum tedavi edilmeden yüzeysel damarlara tedavi yapılırsa kısa bir süre sonra yüzeysel varisler nüks edecektir.
O nedenle öncelikle derin toplardamarlar ile ilgii problemlerin önceikli tedavi edilmesi gerekmektedir. Girişimsel radyolojik varis tedavileri ilgili kısımda açıklanmıştır.
Venöz tromboz adını verdiğimiz durum toplardamarlarda tıkanıklığa yol açan pıhtı oluşumudur. Bu durumda bacakta ısı artışı, kızarıklık ve ağrı olabilir. Bu durumda acil olarak renkli doppler ultrason inceleme yapılmalıdır.
Hangi damarlarda pıhtı oluşumu olduğu, ne kadar yer kapladığı ve ne kadar süre önce oluştuğu bu incelemeden anlaşılır.
Eğer pıhtı yeniyse (akut dönem) damar içindeki pıhtı boşaltılabilir. Eğer subakut dönemde bir pıhtı ise medikal tedavi gerekmektedir.



