SKROTAL TESTİS RENKLİ DOPPLER ULTRASON
Testisler erkek üreme organları olup gövdemizin dışında skrotal kese adını verdiğimiz kesenin içerisinde yerleşimlidir. Gövdemizin dışında yerleşim göstermesinin sebebi sperm canlılığının vücut ısımızdan birkaç derece daha düşük ısılarda korunması gerekliliğidir.
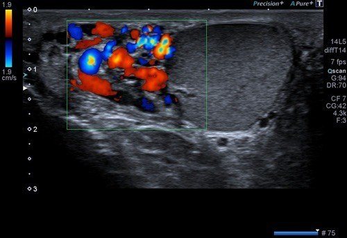
Varikosel testisler komşuluğunda skrotal kese içerisindeki toplardamarlardaki varislerdir. Varikosel olması durumunda skrotal kese içerisindeki ısı artacağı için sperm canlılığı bozulacak ve infertiliteye (kısırlık) sebep olabilecektir. Varikosel tanısı için skrotal renkli doppler ultrason yapılır ve buradaki toplardamar genişlikleri ve yetmezlikleri değerlendirilir. Bu tetkikin sonucunda bir evreleme yapılır. Bu evrelemeye göre hastaya tedavi planlanır.
Ayrıca skrotal renkli doppler ultrason testislerde yerleşimli olası kitlelerin değerlendirilmesine ve skrotal kese içerisindeki epididim adını verdiğimiz organın iltihaplarında tanıda kullanılır.
