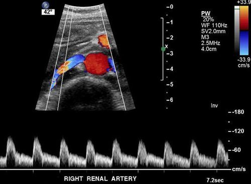
RENAL ARTER RENKLİ DOPPLER ULTRASON
Hipertansiyonlu birçok hastada kan basıncı yüksekliğinin sebebi bulunamaz. Düşük bir oranda kan basıncı yüksekliğinin sebebi bilinebilir. Bu sebeplerin en önemlilerinden birisi böbrek atar damarlarındaki darlıklar, düzensizlikler ya da plak oluşumlarıdır.
Renal arter renkli doppler ultrason ile bu atardamarlardaki problemler kolaylıkla görülebilir. Eğer hipertansiyon sebebi bulunabilirse tedavi edilir ve hastanın kronik ilaç kullanması gerekmeden hipertansiyon tedavi edilir.
Bu damarlardaki problemin derecesine göre medikal tedavi, girişimsel radyoloji ile stent uygulaması ya da cerrahi gibi tedavi yöntemleri ile hasta tedavi edilir.
