PAROTİS ULTRASONU
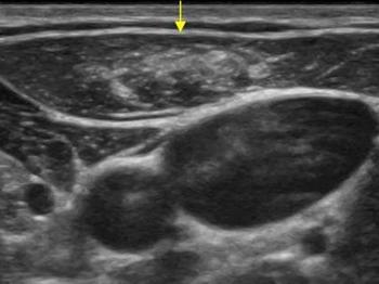
Parotis yüzün her iki yanında, kulak deliklerinin hemen iç kesiminde yüzeyde yerleşimli olarak izlenen tükürük bezleridir. Bu tükürük bezleri içerisinden önemli damar yapılar ve yüzün en nemli siniri olan fasial sinir geçer.
Parotis enfeksiyonlarından en bilineni genellikle çocukluk çağında görülen kabakulaktır. Kabakulak dışında viral ve bakteriyel enfeksiyonlar gelişebilir. Bu durumlarda renkli doppler ultrason tanı açısından önemlidir. Parotisin iyi ve kötü huylu kitleleri mevcuttur. Ultrason incelemesinde parotis kitlesinin şekli, anatomik özellikleri ve doppler inceleme özelliklerine bakılarak tanıya yardımcı olunabilir. Eğer kitle kötü huylu olma potansiyeli taşıyorsa ultrason eşliğinde ince iğne aspirasyon biyopsisi ile patolojik tanı konulabilir. Bir diğer parotis kitlesi sebebi de parotis içinden gelişen lenf nodlarıdır. Genellikle reaktif olan bu lenf nodları (enfeksiyona bağlı) zaman zaman ağrı sebebi olabilir.
