APSE KATATERİZASYONU

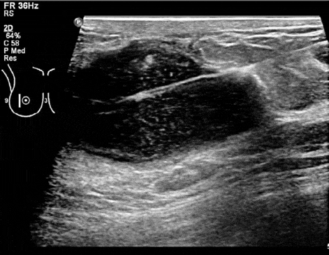
Vücudumuzda her anatomik bölgede enfeksiyonlara bağlı abse gelişimi olabilir. Yüzeysel olarak gelişen abseler ufak kesilerle direk drene edilebilirler. Ancak derin dokularda yerleşimli abseler (batın yerleşimli, derin kas yerleşimli, göğüs boşluğunda yerleşimli vb.) cerrahi olarak operasyon olmadan tedavi edilemezler.
Ancak bu abselere ultrason ya da tomografi eşliğinde önce bir iğne ile girilerek sonra da drenaj katateri yerleştirilerek tedavi edilebilirler. Genel anestezi gererkmeden sadece lokal anestezi ile bu işlem yapılabilir. Takılan kateter aracılığı ile abse boşaltılır. Katater abse sıvısı belli bir miktarın altına inene kadar çıkarılmaz.


