BOYUN ULTRASONU
   
  
Boyun ultrasonu boynumuzda elimize gelen bir kitle, ağrı, kızarıklık gibi durumlarda ya da bazı hastalıkların takibinde kullanılan yüzeysel ultrasonu bir tetkiktir. Boynumuzda tiroid bezi, tükrük bezleri, ana damarlar, lenf bezleri, yemek ve soluk borusu gibi bazıları hayati öneme sahip organlar bulunmaktadır.
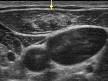
Lenf bezleri doğuştan vücudumuzda bulunan ve vücudumuzun mikroplara karşı ilk koruyucu tabakalarıdır. Enfeksiyon ajanları ile karşılaşınca büyürler, enfeksiyon tedavi edilince ya da vücut tarafından etkisiz hale getirilince küçülürler. Ayrıca lenf bezleri bir takım hematolojik kan hastalıkları (lenfoma, lösemi vb.) ve bazı kanserlerde de etkilenirler ve büyürler. Büyümüş bir lenf bezinin enfeksiyona mı yoksa kansere mi bağlı olduğunu anlamakta ultrasonu çok önemli bilgiler vermektedir. Buna göre de hastanın takip, medikal tedavi ve biyopsi kararı verilmektedir.
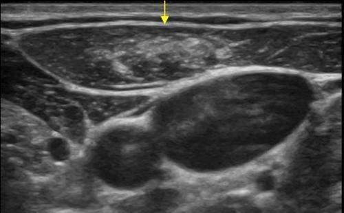
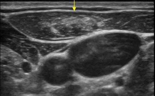
Tükrük bezleri boynumuzda iki tarafta da simetrik olarak yerleşen ikişer majör tükrük bezi (parotis ve sublingual) ve çok sayıda minör tükrük bezinden oluşur. Bu tükrük bezlerinin enfeksiyonları, bez içeririnden gelişen iyi ya da kötü huylu kitle lezyonları, bez kanalları içerisinden gelişen taşlar ve kanal genişlemeleri ultrasonu incelemesinde saptanabilmektedir. Bu nedenle ultrasonu bu hastalıklarda ilk tercihtir.

Tiroid hastalıklarının tanı ve tedavisinde ultrasonu ilk tercihtir( bu konu tiroid ultrasonu başlığı altında anlatılmıştır).
Boynumuzda ki diğer hayati organlar beynimize giden ana damarlarımızdır (Şah damarları). Ultrasononunda bu damarların açık olup olmadığı, içlerinde damar setliği bulguları ve plaklar olup olmadığı bakılır. Damar incelemesinin tam olarak yapılabilmesi için Doppler Ultrasonun da incelemeye dahil dilmesi gereklidir.
Ayrıca özellikle yeni doğan bebeklerde başın tek tarafta tutulması ve diğer tarafa döndürülememesine yol açan tortikollis hastalığı da ultrasonu ile tanısı konulan ve takibi yapılan bir hastalıktır. Bu hastalığa genellikle doğum sırasında oluşan gerilmelere bağlı boynumuzu sağa-sola hareket ettiren ana kas grubundaki kanamalar yol açar. Ultrasonu ile bu kanama alanını ya da kastaki kalınlık farkını ölçerek tanı konulur.
