MEME ULTRASONU
Meme hastalıklarının yaygınlığı her geçen gün artmaktadır. Bu nedenle bir çok ülkede meme tarama programları kullanılmaktadır. Türkiye’de kadınlarda herhangi ek bir problem olmaması durumunda 40 yaş sonrasında her yıl meme taraması önerilmektedir.
Bu nedenle ülkemizde 40 yaş sonrasında yıllık meme ultrasonu, yıllık ya da iki yıllık aralıklarda mamografi incelemesi gerekmektedir.
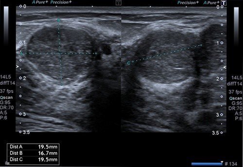
Meme ultrasonu ile yukarda tarif ettiğimiz takipler dışında, meme kitlelerinin, meme kistlerinin, meme enfeksiyonları ve abselerinin, meme süt kanallarındaki genişleme ve içlerindeki olası kitlelerin, meme içerisindeki lenf bezlerinin, damarsal ya da cilt altı yağ doku kaynaklı kitlelerin tanısı konulabilir.
Memede saptanan kitlelerin ultrasonu özelliklerinin değerlendirilmesi ile iyi huylu, kötü huylu ya da şüpheli olduğu söylenebilir. İyi huylu kitlelerin normal meme dokusuna göre kötü huylu kitlelerle dönüşmesinin riski daha yüksek olduğu için 3 ya da 6 ay aralıklarla meme ultrasonu ile takip edilmelidir. Şüpheli kitlelerin kısa aralıkla takibi, mamografi ve meme MRG ile değerlendirilmesi gerekebilir. Meme ultrasonunda büyük olasılıkla kötü huylu olduğu düşünülen kitleler için ise meme ultrasonu eşliğinde biyopsi yapılması gerekecektir.
