PEDİATRİK KALÇA ULTRASONU
Pediatrik kalça gelişimi anne karnındaki bebekte büyük oranda tamamlanmış olmakla birlikte doğum sonrasında da devam eden bir süreçtir. Genellikle doğumdan sonraki 2. ayda bu süreç tamamlanır.

Pediatrik kalça ultrasonu yeni doğan bütün bebeklere doğumdan sonra 2.ayda yapılan, bebeğe herhangi bir zararı olmayan ultrason işlemidir. Türkiye de bu inceleme Sağlık Bakanlığı tarafından tarama programına dahil edilmiştir.
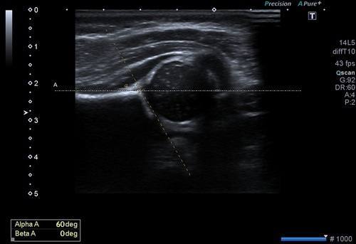
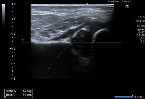
Bu inceleme de amaç her iki kalça eklemini oluşturan kemik yapıların, eklem ilişkilerinin ve kemik açılarının ölçülmesidir. Bu ölçümler ile kalça gelişiminin normal olduğu, yavaş olup düzelme eğilimi olacağı ya da gelişim geriliği olduğu saptanır. Bu ölçümlerin optimizasyonu için uluslararası bir sınıflama sistemi kullanılır.
Pediatrik kalça gelişimi değerlendirmede kullanılan uluslararası sınıflamaya göre, kalça gelişimi problemi olması durumunda değişik tedavi alternatifleri kullanılabilir.

Pediatrik kalça gelişiminin ultrason incelemesinde normal değerlendirilmesi durumunda ek olarak herhangi bir şey yapmaya ya da tekrar kontrol ultrason ile değerlendirmeye gerek yoktur.
Ancak gelişim problemlerinin olması durumunda, çift ara bezi, bandaj uygulaması, fiksasyon yöntemleri ve cerrahi tedaviyi kapsayacak bir dizi yöntem kullanılabilir. Bu durumlarda kalça gelişimi aylık aralıklarla ultrason ile değerlendirilir ve tedavinin etkinliği ile ilgili sonuçlara ulaşılır. Bebekler yaklaşık 6 aylık olana kadar kalça ultrasonu ile değerlendirilebilir ancak sonrasında ultrason inceleme yeterli olmayacağı için röntgen ile değerlendirme gerekecektir.
