PEDİATRİK SAKRAL ULTRASON
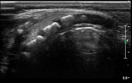
Yeni doğan bebeklerin bazılarında kuyruk sokumu düzeyinde sakral gamze adını verdiğimiz çukurluklar olabilir. Rutin pediatri muayenelerinde saptanan bu bulgunun altta yatan bir sebep olup olmadığının saptanabilmesi açısından mutlaka ultrason ile değerlendirilmesi gerekir.
Sakral gamzesi olan bebeklerde büyük oranda bir problem saptanmamakla birlikte ultrason ile omurilik kanalında açıklıklar ya da omuriliğin daha gergin olması gibi problemler saptanabilir. Bu durumda tedavi gerekebildiği için sakral gamze varlığında ultrason vazgeçilmez bir incelemedir.


