PEDAİTRİK KARIN ULTRASONU
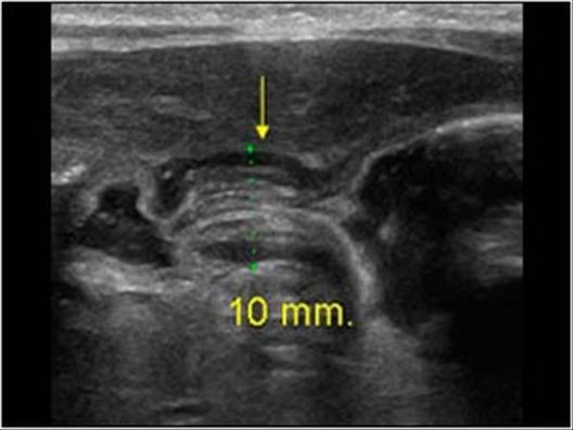
Bebeklerde hayatın ilk aylarında ciddi kusmalar ve kilo alımlarında eksiklik olması durumunda mide çıkışında darlık düşünülür. Pilor stenozu adını verdiğimiz bu durumda mide çıkışında darlık olduğu için mideden on iki parmak bağırsağına besinlerin geçişi yavaşlar, mide aşırı dolduğu içinde beslenmeden hemen sonra bebek kusar. Pilor stenozu ultrason ile rahatlıkla saptanabilir. Bu durumda bebekte gelişim problemlerine yol açmamak için cerrahi olarak darlık bölgesi gevşetilir.
Anne karnındaki bebeklerde ultrason incelemesi ile saptanan böbrek kanal genişlemelerinin bebek doğduktan sonra da ultrason ile takip edilmesi gerekir. Bu kanal genişlemelerinin bir çoğu kendiliğinden doğumdan sonra düzelebilir. Ancak devam eden ya da artan genişlemelerde genişlemenin derecesi ultrason ile saptanıp ona göre tedavi planlamaları yapılır. Artan idrar kanal genişlemelerinde böbrek çıkışındaki üreteropelvik darlıklar, mesane çıkışındaki posterior üretral valv yada vezikoüreteral reflü gibi patolojiler saptanabilir. Saptanan probleme özgü tedavi şekilleri ile bebek tedavi edilir.
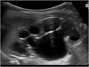
Çocukluk çağlarında karın ağrısı en sık şikayetlerden birisidir. Hayatın ilk 6 ayında en sık karın ağrısı sebebi bağırsak gelişiminin henüz tam olarak tamamlanmadığı için oluşan kolik ağrılardır. Bu durum hemen hemen her bebekte görülmekle birlikte rutin bir karın ultrasonu ile bebekte karın ağrısı sebebi olabilecek başka problem olmadığının teyit edilmesi gerekmektedir. Yine hayatın erken dönemlerinde daha sıklıkla karşılaştığımız bir diğer karın ağrısı sebebi invajinasyondur. Bu durumda bağırsak iç içe girer. Eğer kendiliğinden ya da medikal tedavi ile açılmazsa cerrahi olarak bu lokalizasyondaki problemin çözülmesi gerekebilir. Daha büyük çocuklarda özellikle karnın sağ alt kesimindeki ağrılar yine sık gördüğümüz ağrı lokalizasyonudur. Bu ağrılarda ilk planda akut apandisit ya da mezenterik lenfadenit düşünülür. Genellikle bu iki hastalıkta benzer şikayetlere yol açar. İki hastalığın ayırıcı tanısı ultrason ile kolaylıkla yapılabilir. Bu durumlarda ultrason ile bu ayırıcı tanının yapılması tedavinin şeklini de belirleyecektir. Çünkü akut apandisitte acil cerrahi gerekirken mezenterik lenfadenit antibiyotik kullanarak tedavi edilir.


