BÖBREK BİYOPSİSİ
Bazı böbrek hastalıklarında net tanı konulabilmesi ve doğru tedavi yönteminin planlanabilmesi için böbrek dokusundan örnek almak gerekir. Bunun için tru-cut biyopsi işlemi gerekmektedir.
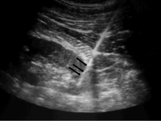
Bu işlem ultrason eşliğinde, steril koşullar altında özel biyopsi iğneleri ile böbrek içerisine girilerek yapılır. Böbreğin dış kesimi asıl işlev yapan kesimidir. Bu bölgeden örnek alınarak çıkılır. Böbrek çok kanlanan bir organ olduğu için hasta biyopsi sonrası hastanede gözetim altında tutulmalıdır.
