TİROİD İNCE İĞNE ASPİRASYON BİYOPSİSİ
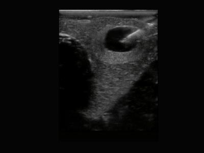
Tiroid içerisinde saptanan ve tümöral gelişim açısından riskli olduğu düşünülen noduler lezyonlarda tirod iğne biyopsisi yapılmalıdır.Bu işlem poliklinik koşullarında, lokal anestezi altında yapılır. Ultrason eşliğinde ince bir iğne ile biyopsi yapılacak kitle ya da nodul içerisine girilerek vakum yöntemi ile örnek alınmaya çalışılır.Bu işlem birkaç kez tekrarlanabilir. Birden fazla şüpheli nodul olması durumunda her birinden ayrı ayrı biyopsi yapılır.
Alınan örnekler lam adını verdiğimiz cam plakalara yayılarak patoloji labaratuvarına gönderilir. Çıkan patolojik sonuca göre tedavi planlanır.Tiroid iğne biyopsisi minimal ağrılı bir işlem olup sonrasında hastanede yatış gerektirmez. Hasta biyopsi sonrasında günlük işlerine devam edebilir.


