KİTLEYE YÖNELİK TRU-CUT (KALIN İĞNE) BİYOPSİ
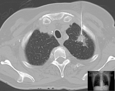
İnsan vücudunda gelişen birçok kitleye yönelik biyopsiler yapılabilir. En sık olarak karaciğer, pankreas, akciğer ve kemik gibi organlardan gelişen kitlelere yönelik tanısal tru-cut biyopsi işlemi yapılabilir. Bu biyopsi işlemlerinden akciğer kitlelerine yönelik biyopsi Bilgisayarlı tomografi eşliğinde yapılır.
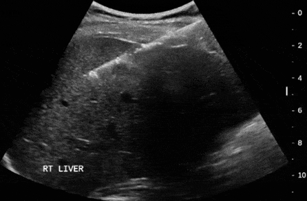
Diğer biyopsi işlemleri ise ultrason eşliğinde yapılabilir. Diğer tru-cut biyopsi işlemlerinde olduğu gibi steril koşullar altında kitle ultrason ile görülerek yapılır. Bu yapılan kalın iğne biyopsilerinin tanısal değerleri çok yüksektir.


