EKLEM ULTRANSONU

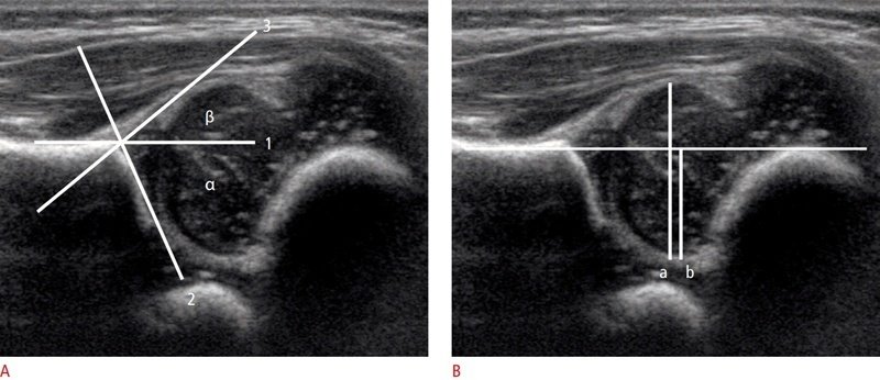
Pediatrik kalça ultrasonu kalçanın gelişimsel eksikliklerini değerlendirmek amacıyla genellikle 1-3 aylık bebeklere belli pozisyonlarda yapılan incelemedir. Bu incelemede amaç uyluk kemiğinin başının, leğen kemiği ile ilişkisini değerlendirebilmektir. Bu değerlendirme hem gözle hem de parametrik olarak yapılır.
İncelemede parametrik ölçülerden alfa ve beta açısı önemlidir. Alfa açısının 60 derece üzerinde olması kalça gelişiminin genel olarak normal seyrettiğini düşündürür. 60 derecenin altı ise dereceye göre bir sınıflama yapılır ve buna göre takip ve tedavi planlanır.
Sınıflamada ilk evrelerde olan kalçalarda 1 aylık aralıkla takip ve ara bezi gibi tedaviler gerekirken, ileri evrelerde kalçalarda bandajlar ve cerrahiye uzanan aralıkta tedavi spektrumu mevcuttur.
Şekilde normal kalça eklem gelişimi olan alfa açısı 60 derecenin üzerinde, beta açısı 55 derecenin altında olan bir bebeğin kalça ultrasonu görüntüsü yer alıyor.
Omuz, diz vb. eklemlerin incelenmesinde ise eklem içerisinde sıvı ya da kanama varlığı, ekleme komşu kas ve tendonlardaki hasarlar, eklem komşuluğundaki kist ve kitleler değerlendirilir.


